![]()
| 肌の色がいろいろな様に、歯肉の色もそれぞれです。メラニン色素の多い方は気にされる人も居ます。健康には関係のない部分ですが気になるところです 本院はNd:YAGレーザー(ネオジュームヤグレーザー)を使用しています デニックス インターナショナル製のハードです |
![]() |
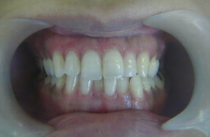
レーザーによるメラニン色素除去治療前の状態です。 |
![]() |
面積が広く色が濃かったので時間(1回30〜50分)と回数(4回)は掛かりましたが、ご本人のみならず、私も満足の行く結果が得られました。 |
| 治療中及び治療後に、歯肉がなるべく日光に当たらないように?しましょう 時間の経過と共にすこしずつ着色してくる場合があります |
|
メール |
TOPへ |