乳歯列反対咬合 早期初期治療について

乳歯列の反対咬合
の治療と考え方
3歳ごろ治療をするか、永久歯の交換まで待つか、二通りの考え方があります。私は乳歯列の完成後、聞き分けができてくる3歳を目途に早期に治療した方が良いと考えています。反対咬合のまま永久歯の交換を待つと、顎の骨がそれに順応して、上顎は奥に引っ込んだ形、下顎は前に出た形になってしまいます。永久歯は乳歯の下から生える訳ですから、永久前歯も反対咬合の可能性が高くなります。
早期に反対咬合を改善しておけば、前歯が永久歯に変わる小学校2年生ごろまでの5年間ほどを、正常な噛み合わせで過ごせるので顎骨も正常に育ち、その場所に生える永久前歯も正常咬合が期待できます。
治療装置ムーシールド(現在のメイン)
      チンキャップ
      ジャンピングプレート
MUEshieldを使用しての感想
S.Eちゃんの母より
(原文のまま)
眠っている間だけ装着すれば乳歯の反対咬合が治せるとのことで、2歳10ヶ月より装着し始めました。
 最初は違和感がかなりあったようで、1~2時間が精一杯でなかなか長時間装着する事ができませんでしたが、少しずつ時間を伸ばし、1年程でムーシールドを卒業することができました。子供にとっては慣れてしまえば負担が少なく、小さいうちに治療できとても良かったです。
 これもなかなか装着時間が伸びず、焦っていた時も、いろいろな方法を提示してくれ、やさしく気長に対応してくださった、先生や衛生士の方々のお陰だと思います。
どうもありがとうございました。
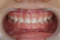
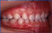
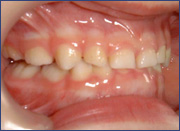
実際の当院治療例
ムーシールド
治療前
約1年間装置装着
治療後
横顔が中高になっています
良い側貌ですね!
                               
以下はMUE shield開発者 柳沢宗光歯学博士のHPからの抜粋です
反対咬合の早期初期治療
ムーシールド™(機能的顎矯正装置)の機能および使用方法

1.はじめに -経過観察の勧め? -

不正咬合の治療については、いつ、どのような術式で、開始する事が、最善の方法であるか、古くから議論のあるところです。とりわけ、反対咬合症例には、低年齢時期から、健診あるいは、臨床の場面に於いて遭遇する機会が多いものです。しかし、医療現場では必ずしも、一致した見解を、患者サイドに示しているとはいえないのが、現実です。時に、明確な根拠を持てぬまま、経過観察を勧めていることも、多いのではないかと思われます。

2.乳歯列期反対咬合の問題点 -自然治癒率-

永原1)は、乳歯列期反対咬合の自然治癒率について、報告しています。 永原の表を元に、ⅢA期への推移率を表記させて戴きました(表1)。 「ⅡA期を通して、反対被蓋であった者r(109名)」の内、「ⅢA期に正常被蓋に戻った者r-N(7名)」は、6.4%ということに なります。93.6%は、自然治癒しないことを示しています。
表1
表1


3.反対咬合の成因 -筋機能の不調和-

反対咬合の筋機能上の問題点は、次の3点と考えられています。「タイトな上口唇」、「ルーズなオトガイの緊張」そして、「低位舌」です。「タイトな上口唇よる圧力」は、上顎の水平方向への成長を抑制する様に、後方に引き戻す力として機能していると考えられます。それに反し、「ルーズなオトガイの負の圧力」は、下顎骨の前方への成長を、許容していると考えられます。そして、「低位で機能する舌」は、嚥下の都度、下顎骨を前方に押し出す圧力として機能すると考えられています。

4.反対咬合用機能的矯正装置 -ムーシールド™の構造と機能および使用方法-

反対咬合用の機能的顎矯正装置には、以上の3点を、改善できることが要求されます。「上口唇圧を排除」し、 「オトガイ部に過緊張」を起こし、そして「低位舌を挙上」する機能が要求されます。 ムーシールド™(図1、2)は、上顎歯列唇側、下顎歯列舌側及び口腔底を、ワックスでリリーフした後、即時重合レジンを築盛して製作する一塊の構造体です。基本的な構造は、スプリント部分を主体としています。そこに、舌を挙上する領域と、上口唇圧を排除するシールド領域が付与された構造体です。 装着後、嚥下時、オトガイに過緊張が起こることを、患者に認識させる事は、大切なポイントの一つです。機能的矯正装置は、自動的な筋訓練装置として機能します。本装置は、就寝時のみの使用で、目的を達成することが可能です。保定の意味も含めて、1年間をめどに使って頂きます。また、その後は、定期的に健診を継続していく事が重要です。
図1
図1
図2
図2

5.ムーシールド™による早期初期治療 -反対咬合の早期初期治療例-

反対咬合の早期初期治療例を示します。
■症例1 初診時5歳4ヵ月。
上顎乳犬歯が、下顎乳犬歯をロックし、下顎の後方への機能運動を阻害していました。 その結果、構成咬合も採れず、自然治癒を見込めないと判断しました(図3)。 6歳6ヵ月時から、ムーシールドを使用開始しました。3ヵ月後、被蓋の改善を確認しました。その後、約9ヶ月間、 本装置を保定装置として、使用し『早期初期治療』を終了しました。その後、ほぼ年一回、経過観察を継続してきました。 第2大臼歯の萌出完了時、被蓋が浅くなってきました。「Ⅰ期治療」が必要であると、判断しました。 ブラケット等は装着せず、同様の機能的顎矯正装置を、再び、約12ヵ月間使用し「Ⅰ期治療」を終了しました。 17歳2ヵ月定期健診時、バイトは深く、咬合は、安定しています(図4)。「Ⅱ期治療」は必要ないと判断しました。
本症例は、基本的にブレーキーフェイシャルを示し、バイトの著しく深い症例です。ANBは、当初、-1.6を示しました。 しかし、早期初期治療後、SNAは、著しい増加傾向を示しました(表2)。結果として、ANBは、改善され、 1.3を示す様になりました(表3)。早期に被蓋を改善した為、機能が正常なラインに戻り、上下顎の関係が、改善されたと 考えられます。
初期治療を考える時、将来、治療困難な反対咬合症例に発展する可能性の高い症例であるか否かの鑑別診断は、極めて重要です。 居波2)は、Kix Indexが、1.5を超える症例は、外科療法を含む難症例になることを報告しています。本症例は当初、 1.426を示しました。しかし、初期治療後、標準値1.13に、近づく傾向を示しました。以上の結果から、難易度の高い反対咬合 症例であっても、早期に治療開始することにより、その後の難易度を下げる事が推測出来ました。

図3
(図3:症例1 5歳4ヶ月)
図4
(図4:症例1 17歳2ヶ月)
■症例2 初診時3歳3ヶ月。
上下顎乳犬歯間がロックされ、構成咬合を採ることが出来ませんでした(図5)。 3歳6ヶ月より、就寝時、ムーシールドを使い始めました。数ヶ月後、被蓋の改善を認めました。被蓋改善後も、 保定装置として、4歳6ヶ月を過ぎるまで、ムーシールドを使い続けました(図6)。

図5
(図5:症例2 3歳3ヶ月)
図6
(図6:症例2 4歳6ヶ月)
■症例3 初診時2歳8ヶ月。
3歳頃までの、経過観察を勧めましたが、保護者の強い希望もあり、早期初期治療を開始しました。 バイトが深く、構成咬合を採ることが出来ませんでした(図7)。また、印象採得も出来ませんでしたが、 既成のムーシールドを使い、数ヶ月で、被蓋の改善をみました(図8)。
図7
(図7:症例3 2歳8ヶ月)
図8
(図8:症例3 3歳5ヶ月)

6.早期初期治療、難易度の判定

将来、治療困難な反対咬合症例に発展する可能性の高い症例の、臨床的な鑑別診断基準は、次のように考えられます。

 1)バイトが浅い症例。
 2)家族に反対咬合者がいる。
 3)構成咬合がとれない症例。
 4)ターミナルプレーン(上下顎第二乳臼歯遠心面を垂直的に結ぶ面)が、著しい下顎近心位を示す症例。

等です。これらの症例は、遺伝的、骨格的要因が深く関わっていることが想定されます。従って、これらの症例に着手する場合、小児歯科、矯正歯科の専門医らと、連携をとることが望まれます。時に、「患者さんを委ねる」という選択肢も生まれます。また、保護者(患児)に、難症例になる可能性について、注意を促しておくことは、重要な課題の一つであると考えられます。

7.おわりに -早期初期治療・Ⅰ期治療・Ⅱ期治療-

「適切な時期に、短期間で治療する」という事は理想です。しかし、反対咬合者に、その言葉を当てはめることは困難と 考えられます。反対咬合症例においては、定期健診を継続し、治療の要、不要を、その都度、再検討する必要があります。 それは、反対咬合者への関わりが、成長する全期間に渡る事を意味します。少なくとも、現時点では、「反対咬合症例は、 適切な時期に、何回か、短期間治療する可能性がある」と表現するのが妥当と考えられます。反対咬合の治療は、 「早期初期治療」「Ⅰ期治療」「Ⅱ期治療」が想定されます(表4)。そのことを、 術者、患者(保護者)の双方が充分に 理解して、治療が開始されるべきです。
いずれにせよ、筋機能のアンバランスを整る事を念頭に置き、低年齢時期に、出来るだけ負担の少ない方法で、関わりを持つ ことが必要と考えられます。すなわち、「早期初期治療」の役割は、「逆被蓋という成長を阻害する因子」を除去し、 「正しい成長発育ラインに乗せる事」にあると考えています。3) 4)
表4
表4

参考文献

1)永原 邦茂、他
乳歯反対咬合者の咬合の推移─乳歯反対咬合の自然治癒を中心として─
愛院大歯誌;30(1):223-229(1992)

2)居波 徹
Ⅲ級不正咬合の早期治療
近畿矯正歯科研究会誌;vol.11 27-33 (1999)

3)柳澤 宗光、他
機能的矯正装置による反対咬合者の治療に関する研究
日本矯正歯科学会雑誌;Vol.44(4) p.734,(1985)

4)柳澤 宗光
小児の反対咬合治療の開始時期について
デンタルダイヤモンド;19(13),p.186-189,(1994)




メール

トップ